2026-01-12 13:56:54瞬航软件园
1月10日消息,“西安国际医学”最新分享了一则案例,可以说是医生从死神手里硬生生抢回了一条人命。
据介绍,去年3月,工地上的焊接架毫无征兆地断裂时,41岁的张先生(化名)从13米(相当于四层楼)的高度直直坠下并重重摔到地上。
他被送到西安国际医学中心医院急诊时已经处于休克状态,初步诊断结果令人心惊:
创伤性失血性休克、多发性肋骨骨折、肺部损伤、右侧肩胛骨粉碎骨折、右侧肱骨髁上开放粉碎性骨折、右股骨粗隆及股骨干粉碎性骨折、骨盆粉碎性骨折、腰椎横突多发骨折、腰骶柱神经损伤、臂丛神经损伤、胸腔积液、腹腔积液等。
经医生检查,张先生全身共有六处较大骨折部位,多为严重粉碎性骨折,全身骨折碎块达30多块!

医生随即展开紧急抢救,总算是保住了他的性命,后续转入创伤骨科继续治疗,此时最大的挑战出现了。
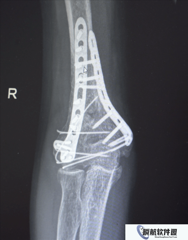
鉴于男子多处骨折,其中最严重的当属右肘部C3型粉碎性骨折,关节面及髁上严重粉碎(碎成了七块),肘关节易粘连,复位固定难度极高。
最终医疗团队采用了“拼古董”式复位固定技术,就像修复一件珍贵的古董瓷器,先拼接大块骨块再贴合小块,先后进行了两次手术。
如今张先生已能独立行走,康复程度达85%,后续有望恢复至95%,以后的工作生活应该不受影响。




声明:本文内容及配图由入驻作者撰写或者入驻合作网站授权转载。文章观点仅代表作者本人,不代表本站立场。文章及其配图仅供学习分享之
相关资讯更多
新品榜/热门榜